Sucos de caixinha e chás industrializados podem comprometer seus dentes com níveis de açúcar oculto desconhecidos por boa parte da população
Quem resiste a um docinho depois do almoço ou junto do café da tarde?
O sabor adocicado faz parte do nosso cotidiano, mas o consumo de açúcar desenfreado e, muitas vezes, inconsciente desses produtos pode trazer consequências sérias para a saúde, especialmente para a saúde bucal.
Muita gente acredita que o problema do consumo de açúcar esteja apenas em balas, chocolates ou sobremesas açucaradas. No entanto, diversos produtos aparentemente inofensivos escondem quantidades significativas do produto – até mesmo os que se enquadram na categoria “fit” ou “saudáveis”.
São os chamados açúcares ocultos, presentes em sucos industrializados, chás prontos, iogurtes, cereais, molhos, e até mesmo em massas, pães e embutidos. O perigo está justamente no consumo de açúcar diário e repetido desses alimentos sem a devida consciência dos danos que eles podem causar à saúde e ao bem-estar.
O impacto do consumo de açúcar na saúde bucal: a formação de cáries
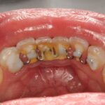
O consumo de açúcar é um dos maiores facilitadores do desenvolvimento de cáries dentárias.
Isso acontece porque, ao ser ingerido, ele serve de alimento para bactérias presentes naturalmente na boca. Essas bactérias produzem ácidos que corroem o esmalte dentário, provocando a desmineralização e, com o tempo, a formação das cáries.
Estima-se que 60 a 90% da população mundial sofrerá com cáries em algum momento da vida. No Brasil, esse número é ainda mais alarmante: segundo o Ministério da Saúde, 88% da população já teve ou terá cáries.
“Esses alimentos, quando ficam presos nos dentes e não são removidos com escovação e higiene adequadas, também alimentam as bactérias bucais e contribuem para o desenvolvimento de doenças orais”, afirma o dentista Sergio Correia.
Muita gente só percebe a cárie quando sente dor ou os dentes apresentam buracos visíveis. Afinal de contas, ela evolui muitas vezes de forma silenciosa, destruindo gradualmente as estruturas dentárias. A dor nem sempre é um sintoma imediato, o que faz com que muitos adiem a visita ao dentista, e isso pode agravar ainda mais o quadro.
Veja, abaixo, outros problemas relacionados ao consumo de açúcar na saúde bucal:
Tártaro, placa e doenças gengivais
Quando a higiene bucal é inadequada, a placa bacteriana se forma como uma película composta por bactérias e restos alimentares. Com o tempo, ela pode se calcificar e dar origem ao tártaro, uma camada endurecida que se instala entre os dentes e a gengiva, dificultando ainda mais a limpeza.
O tártaro, por sua vez, está diretamente ligado às doenças gengivais, como a gengivite e a periodontite. A primeira deixa a gengiva vermelha, inchada e propensa a sangramentos. Se não for tratada, pode evoluir para a periodontite, que atinge os tecidos de sustentação do dente, podendo causar a sua perda.
Além do consumo de açúcar, os alimentos processados, ricos em gorduras e refinados favorecem o acúmulo de placa e o agravamento dessas condições.
Açúcar oculto: o perigo disfarçado de saúde
Um dos maiores desafios atuais é identificar o açúcar escondido em produtos ditos “saudáveis” ou “fit”.
Sucos de caixinha rotulados como naturais, barrinhas de cereal, molhos de tomate e até mesmo iogurtes light frequentemente contêm diferentes tipos de açúcares adicionados, como: xarope de milho, maltodextrina, frutose, dextrose, glicose.
Esses ingredientes muitas vezes aparecem nos rótulos com nomes técnicos, dificultando a identificação pelo consumidor. O problema se agrava porque grande parte do público não tem o hábito de ler os rótulos com atenção e, mesmo que o faça, muitas vezes não reconhece os nomes alternativos, favorecendo o consumo de açúcar oculto.
Dessa forma, o resultado é um consumo de açúcar diário muito superior ao recomendado pela Organização Mundial da Saúde (OMS), que estabelece como ideal a ingestão máxima de 25 gramas (cerca de 6 colheres de chá) por dia para um adulto.
Dependência e outras consequências
Além dos danos físicos aos dentes, o consumo de açúcar excessivo pode gerar dependência semelhante à causada por substâncias como álcool e nicotina, afinal ele também tem um forte impacto no cérebro. O açúcar ativa áreas cerebrais ligadas ao prazer, liberando dopamina, o chamado hormônio da recompensa.
Isso cria um ciclo vicioso, quando o cérebro começa a pedir mais consumo de açúcar para obter a mesma sensação de bem-estar. Contudo, essa prática impacta o metabolismo como um todo, atingindo o sistema cardiovascular, a imunidade, o desequilíbrio na microbiota oral e ainda gera mau hálito.
Falando em mau hálito, isso acontece porque a ingestão constante de açúcar afeta negativamente o pH da boca, criando um ambiente ácido que favorece o crescimento de bactérias cariogênicas.
Como se proteger: cuidados simples e eficazes
Calma, não precisa eliminar o consumo de açúcar da rotina. É possível conviver com ele sem prejudicar os dentes, desde que haja moderação e higienização adequada.
Confira algumas dicas:
– Leia os rótulos dos alimentos e familiarize-se com os nomes alternativos do açúcar.
– Reduza a frequência de consumo de açúcar em doces e carboidratos simples.
– Evite beliscar ao longo do dia, dê tempo para a saliva neutralizar os ácidos.
– Escove os dentes pelo menos duas vezes ao dia, caprichando no período noturno, e use fio dental diariamente.
– Prefira alimentos naturais e in natura: frutas, legumes e alimentos minimamente processados têm menos ou nenhum açúcar adicionado.
– Beba bastante água e evite bebidas açucaradas.
– Visite o dentista regularmente, mesmo sem sintomas, para avaliações preventivas.
O açúcar está por toda parte — visível ou invisível — e o seu consumo excessivo traz consequências sérias para a saúde dos dentes. A prevenção começa com informação e hábitos saudáveis tanto à mesa quanto no momento de fazer a higiene dental.
Que tal agendar sua avaliação agora? Entre em contato!
(Imagem: Pexels)


