Entenda o que é a apicectomia, quando esse procedimento cirúrgico é indicado e como ele atua na remoção de infecções persistentes na raiz do dente, aliviando a dor e preservando a estrutura dental
A dor dentária intensa costuma ser um dos principais motivos que levam o paciente a buscar atendimento odontológico com urgência. Em muitos casos, a causa do problema está relacionada a infecções dentárias profundas na raiz, que nem sempre podem ser resolvidas apenas com tratamentos convencionais e envolvem uma cirurgia: a apicectomia.
O que é apicectomia?
A apicectomia é um procedimento cirúrgico odontológico indicado quando há uma infecção persistente na região do ápice do dente: ou seja, na ponta da raiz.
O tratamento consiste na remoção dessa extremidade radicular associada à curetagem e à limpeza completa da lesão inflamatória ou infecciosa ao redor.
Por que a apicectomia é necessária?
As lesões apicais costumam se formar de maneira lenta e silenciosa, muitas vezes ao longo de anos. Entre as principais causas, estão:
- Ausência de tratamento de canal, mesmo após perda ou trauma dental;
- Tratamentos endodônticos mal executados;
- Procedimentos bem feitos, mas sem resposta necessária de cicatrização;
- Traumas antigos, como quedas ou impactos na região do rosto.
Um exemplo comum é o de pacientes que sofreram um choque na infância. Em um caso clínico recente, o paciente chegou ao consultório com muita dor, precisando ser medicado e ter o procedimento cirúrgico agendado com urgência.
Ele havia batido o queixo ainda criança, o que levou à perda de um dente. Posteriormente, foi realizado um implante no local, porém sem que o canal tivesse sido tratado, favorecendo a formação de uma lesão apical lenta e progressiva ao longo dos anos.
Quais são os principais sintomas?
Os sintomas variam de acordo com o estágio da lesão, mas os mais comuns incluem:
- Dor intensa ou pulsátil;
- Sensação de pressão na região afetada;
- Inchaço na gengiva ou no rosto;
- Sensibilidade ao toque ou à mastigação;
- Presença de fístula (saída de secreção pela gengiva).
Em alguns casos, a lesão pode ser assintomática por longos períodos, sendo descoberta apenas em exames de rotina.
Como é feito o diagnóstico?
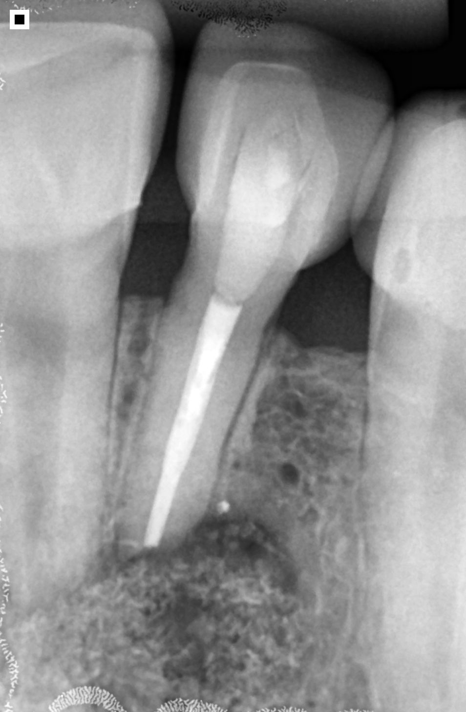
O diagnóstico da necessidade de uma apicectomia se baseia na avaliação clínica e nos exames de imagem. A radiografia e a tomografia computadorizada visualizam com precisão a extensão da lesão.
No caso citado, os exames mostraram claramente a presença de uma lesão no ápice do dente, tanto na região lateral quanto central da raiz, confirmando a necessidade de intervenção cirúrgica.

Como funciona o procedimento de apicectomia?
Apesar de ser um procedimento rápido, a apicectomia é realizada em ambiente cirúrgico, sob anestesia local, com todo o cuidado para garantir conforto e segurança ao paciente. O passo a passo do procedimento inclui:
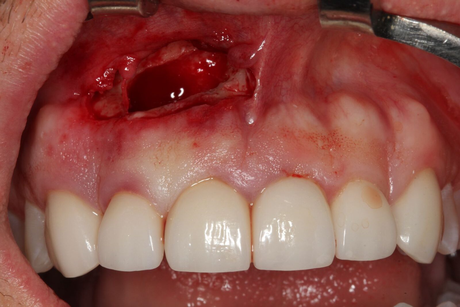
Uma incisão na gengiva com bisturi, permitindo acesso à região óssea. A exposição da área infectada muitas vezes já revela a gravidade da lesão, seguida da drenagem do conteúdo infeccioso, quando presente.
Depois, é feita uma curetagem cuidadosa, removendo todo o tecido inflamado ou contaminado ao redor da raiz e o corte da ponta do ápice radicular, eliminando a porção comprometida. Com a área limpa, pode-se aplicar o enxerto ósseo, geralmente com biomaterial associado a técnicas modernas de regeneração.
No caso clínico descrito, foi utilizado um enxerto com fibrina rica em plaquetas (PRF) misturado com cerabone (osso), combinação que favorece a cicatrização, estimula a regeneração óssea e melhora o prognóstico do tratamento.


Pós-operatório e acompanhamento
Após a apicectomia, o paciente recebe orientações específicas de cuidados, que podem incluir:
- Uso de medicação prescrita;
- Repouso relativo;
- Evitar alimentos duros ou com temperaturas extremas;
- Higiene adequada da região.
Como qualquer outro procedimento cirúrgico, a apicectomia pode apresentar problemas quando os cuidados pós-operatório não são seguidos. Por isso, a atenção do paciente e o acompanhamento são fundamentais para garantir o sucesso do tratamento.
Após um período de cerca de quatro a seis meses, o paciente retorna para a realização de novos exames de imagem, a fim de confirmar que a lesão regrediu e que a área está cicatrizando corretamente.
Preservar o dente é possível
A apicectomia é uma técnica segura, previsível e altamente eficaz quando bem indicada, mesmo que envolva um procedimento cirúrgico. Ela permite eliminar a infecção, aliviar a dor e, principalmente, preservar o dente, evitando extrações desnecessárias.
Com diagnóstico preciso, planejamento adequado e o uso de tecnologias modernas, a apicectomia se consolida como uma solução da odontologia, devolvendo conforto, saúde e qualidade de vida ao paciente.
Está com dores nos dentes ou quer saber mais sobre o procedimento? Entre em contato e agende uma avaliação!





