Material é o mais procurado para quem quer um custo mais em conta em relação à porcelana, mas exige cuidados: veja dois casos recentes do consultório
As facetas de resina são, muitas vezes, uma opção para os pacientes que buscam por alternativas para melhorar o sorriso, especialmente devido ao valor mais atrativo e um custo-benefício melhor. Porém, nem sempre os resultados satisfazem as expectativas de quem opta pelo procedimento.
Entre alguns dos motivos que levam os pacientes a se arrependerem do procedimento, estão a insatisfação com a cor, a durabilidade das facetas de resina ou mesmo o seu formato final.
Na sequência do artigo, vamos falar um pouco mais sobre as facetas de resina, a comparação delas com as de porcelana e mostrar alguns casos recentes de consultório para que vocês concluam da melhor forma!
Facetas de resina: mais contras que prós?
Independentemente do material, as facetas são finas camadas aplicadas na superfície dentária, a fim de melhorar a estética e a harmonia do sorriso, seja em relação ao formato dos dentes, à coloração, às quebras ou aos desgastes.
Elas podem ser facetas de porcelana – mais duráveis, naturais e resistentes a manchas – ou de resina – um material mais em conta e que, justamente por esse motivo, tem atraído mais a atenção dos pacientes.
“O grande problema das facetas de resina é que, normalmente, elas inflamam o tecido gengival, causando uma estética não tão satisfatória. Além disso, costumam absorver mais pigmentos, e, com isso, mancham com mais facilidade”, explica o dentista Sergio Correia, especialista em Dentística Restauradora.
Muitas promessas, poucos resultados
Por vezes, os profissionais são os responsáveis por levarem os pacientes a essas escolhas ao não mostrarem todas as opções e possibilidades, não apresentarem as principais diferenças e prós e contras dos materiais e fazerem promessas de colocar as facetas sem um preparo prévio do dente, entre outros pontos.
“Não se deve colocar um material sobre o dente apenas por acréscimo. É preciso remover um pouco o esmalte para acrescentar a porcelana ou a resina. Caso contrário, o dente ficará com uma espessura maior, grosseiro e esteticamente desagradável”, esclarece o profissional.
Casos em consultório
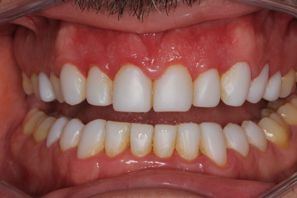
Nas últimas semanas, temos recebido diferentes casos de colocação de facetas de resina com resultados insatisfatórios para o paciente. Veja dois deles na sequência.
Paciente chegou ao consultório para realizar uma simples limpeza, mas estava com as facetas de resina em excesso e mal adaptadas. Elas estavam gerando inflamação gengival, mas ainda sem sintomas perceptíveis.

Inicialmente, optamos por remover as facetas de resina. No entanto, ficou um grande espaço entre os dentes da frente, pois as restaurações foram feitas de forma desproporcional para que o espaço aberto fosse coberto. Para corrigir isso, foi feito um tratamento de três meses com alinhadores invisíveis.


Por fim, o tratamento foi finalizado com facetas de porcelana Emax Dissilicato de Lítio cor BL2, que deixou um sorriso muito mais harmonioso e natural!

O segundo caso é semelhante: facetas de resina feitas de forma exagerada, especialmente porque os dentistas prometem não desgastar os dentes.

Com isso, há excesso no contorno dos dentes, deixando-os grossos, o que facilita o acúmulo de placa bacteriana, prejudicando não somente a estética, mas a saúde do paciente também. Este caso também foi tratado com a remoção e substituição das facetas de resina por de porcelana.
E aí, conseguiu escolher qual a sua faceta favorita? Existem alguns mitos em relação às facetas de porcelana, por isso é importante conversar com o profissional e tirar todas as dúvidas antes de realizar o procedimento.
Cuidado para não cair na moda! Caso queira colocar facetas, seja por necessidade estética ou funcional, procure por profissionais especializados, que trabalham com materiais certificados e parceiros confiáveis.
Tem facetas de resina e não está satisfeito com o resultado? Entre em contato para conversarmos!


