As contenções higiênicas são comuns após o tratamento ortodôntico, mas podem causar sérios problemas no longo prazo; saiba mais neste artigo
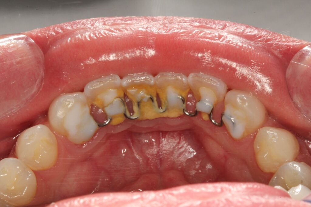
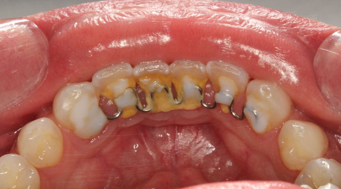
As contenções higiênicas são dispositivos ortodônticos fixos, geralmente compostos por um fio colado na superfície interna dos dentes. Elas são indicadas para manter o alinhamento após o uso do aparelho, evitando que os dentes se movam ou voltem à posição original.
Apesar de parecer vantajosa, as contenções higiênicas exigem cuidados para evitar danos futuros. E é esse ponto que muitos pacientes desconhecem e podem ter problemas.
Por que as contenções higiênicas podem ser prejudiciais
Embora levem o nome de higiênica e cumpram bem sua função de estabilização, as contenções podem se tornar um desafio com o passar dos anos. Uma das principais preocupações envolve a higienização diária, que se torna mais complexa devido ao fio colado e à resina usada para fixá-lo. Entre os principais problemas do uso da contenção higiênica, estão:
Acúmulo de tártaro e placa bacteriana
Apesar do formato ondulado ser feito para facilitar a passagem do fio dental, o fio colado cria pequenas áreas de difícil acesso. Com o tempo, o acúmulo de placa bacteriana pode endurecer e formar tártaro. Esse acúmulo é comum especialmente na região lingual dos incisivos inferiores, onde a contenção costuma ser instalada.

Além de prejudicar a estética, o tártaro pode comprometer a saúde gengival, provocando:
- Inflamação constante;
- Vermelhidão e sangramentos;
- Mau hálito;
- Sensibilidade aumentada.
Riscos de gengivite e problemas periodontais
Quando a presença de placa e tártaro é contínua ao redor das contenções higiênicas, a gengiva sofre com a inflamação. Se não tratada, a gengivite pode evoluir para uma periodontite mais grave, causando perda óssea e, em casos extremos, mobilidade dental.
Dificuldade de limpeza e manutenção constante
Mesmo para pacientes cuidadosos, higienizar a região onde a contenção está colada é uma tarefa desafiadora. O uso de passadores de fio ou fio dental especial é necessário, mas nem sempre prático no dia a dia. Esse cenário faz com que muitos pacientes relaxem na limpeza, aumentando os riscos.
O fio também pode sofrer pequenas deformações, descolar ou acumular resina excedente — todos fatores que facilitam ainda mais o alojamento de restos alimentares e bactérias.
Possibilidade de movimentação indesejada
Se a contenção se descola parcialmente, ela pode gerar forças involuntárias sobre os dentes.
Isso leva a movimentações que passam despercebidas até que o desalinhamento já esteja visível. Ou seja: aquilo que deveria manter o sorriso estável pode, no longo prazo, gerar instabilidade.
Placa móvel de contenção: uma alternativa mais saudável e prática
Diante dos riscos associados às contenções higiênicas ao longo dos anos, muitos profissionais têm adotado outra abordagem: a placa móvel de contenção, como os modelos estabilizadores transparentes.

Essa alternativa apresenta diversas vantagens, especialmente para uso prolongado:
Higienização completa dos dentes
O principal benefício da placa móvel é que ela não interfere na escovação e no uso do fio dental. O paciente consegue remover o dispositivo e realizar toda a limpeza bucal de forma eficiente, mantendo gengivas e esmalte saudáveis e reduzindo significativamente o risco de gengivite, tártaro e problemas periodontais.
Entenda mais sobre o uso dos aparelhos invisíveis.
Possibilidade de ajustes e substituições
A placa móvel é personalizada e única, feita após o escaneamento dos dentes do paciente. Ela pode ser ajustada, caso a retenção precise de reforço. É usada conforme orientação do profissional, geralmente apenas à noite após o período inicial.
Qual é a melhor escolha para você?
A decisão entre contenções higiênicas e placa móvel depende de cada caso, mas é inegável que a contenção móvel apresenta vantagens importantes no longo prazo.
Pacientes que desejam praticidade e segurança podem se beneficiar muito dessa alternativa, especialmente quando o objetivo é evitar inflamação, tártaro e problemas gengivais.
A visita regular ao dentista é essencial em qualquer uma das escolhas. Com acompanhamento profissional, a placa móvel garante estabilidade, mantendo o alinhamento conquistado durante o tratamento ortodôntico sem comprometer a saúde bucal.
Que tal agendar seu horário e saber mais sobre esse assunto?


